Apsaras是洲際醫療全球發布的最新款CT裝置。
Apsaras憑借其傑出的掃描能力及豐富的自主研發臨床軟件已成爲業界新貴。
全新32排16層 CT 裝置 Apsaras。新産品全面改善常規的工作流程,完善各項臨床應用的功能。在确保極低的輻射劑量同時提高效率,關愛患者。
Apsaras 是具有全面表現力的 CT 系統,新産品其傑出的掃描能力及自主研發的臨床軟件的應用使産品集疾病的診斷、治療、預防爲一體,考慮醫生、使用者、受檢者的多重需要,開拓了全新的醫學領域。适用于急診、門診、病房以及臨床科研的全方位應用。
(1) 緊湊的結構設計,設計精巧
實現大孔徑的同時保持各部位各部件的标準尺寸,維持标準幾何設計。工藝精細。機架開口徑爲 750mm
高性能的硬件配置爲優質的圖像質量提供保證。

(2)探測器是高質量圖像和低劑量采集的基礎。
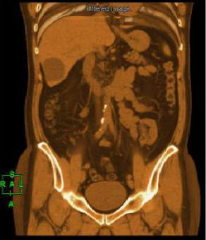
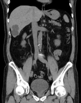
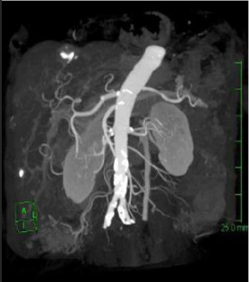
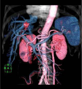
在整體的影像鏈環節進行了改進确保高清晰的圖像。實現了圖像的各向同性,任意方向的 MPR 圖像具有相同的圖像質量。
(3)應用 Intelli IP(Advanced)進行高質量的叠代重建
Intell IP(Advanced)是針對低劑量圖像重建算法中的創新,其有效性在以往的用戶中得到了證明。
(4)高效的高壓系統以及高性能球管确保低運行成本。